Исправление прикуса у детей
Исправление прикуса у детей

Исправление прикуса у детей — это комплекс ортодонтических мероприятий, направленных на правильное формирование зубочелюстной системы в период роста. Раннее выявление и коррекция нарушений прикуса позволяют обеспечить гармоничное развитие челюстей, правильное положение зубов и нормальную функцию жевания и речи.

Когда требуется исправление прикуса?

Ортодонтическое лечение показано при неправильном смыкании зубов, скученности или неправильном прорезывании зубов, асимметрии лица, нарушениях жевания и речи, а также при вредных привычках (сосание пальца, ротовое дыхание). Обратиться к специалисту рекомендуется уже в раннем возрасте, даже при молочном или сменном прикусе.

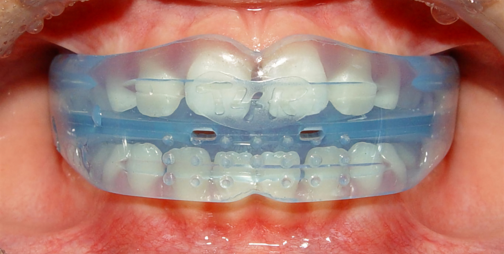
Как проходит лечение?

Лечение подбирается индивидуально с учётом возраста ребёнка и особенностей развития челюстей. Могут использоваться съёмные ортодонтические аппараты, трейнеры, пластинки или другие функциональные устройства. В процессе лечения проводится регулярное наблюдение и коррекция терапии по мере роста ребёнка. Такой поэтапный подход позволяет мягко и эффективно направлять развитие зубочелюстной системы.

Основные преимущества исправления прикуса у детей в Беларуси

Проводится ранняя ортодонтическая диагностика и индивидуальный подбор методов коррекции с учётом этапов роста. Последовательное лечение помогает снизить риск сложных ортодонтических проблем в будущем, сократить сроки терапии и обеспечить стабильный результат.

Исправление прикуса у детей доступно в ведущих клиниках Беларуси, где применяется современный ортодонтический подход, безопасные методики и длительное наблюдение за развитием зубочелюстной системы ребёнка.

Cвязаться с клиникой

Задать вопрос

В соответствии со статьей 5 Закона Республики Беларусь от 7 мая 2021 г. № 99-З "О защите персональных данных" даю согласие на обработку моих персональных данных.