
Костные саркомы — это злокачественные опухоли костной ткани, которые чаще всего встречаются у детей и подростков. Два самых распространённых типа костных сарком у детей — это остеосаркома и саркома Юинга. Остеосаркома обычно возникает в костях, таких как бедренная кость, голень или плечо, тогда как саркома Юинга может появляться в костях таза, рёбрах, позвоночнике или в длинных костях. Лечение костных сарком у детей является сложным и включает сочетание хирургии, химиотерапии и иногда лучевой терапии.
Лечение направлено на удаление опухоли, предотвращение её распространения и сохранение функции поражённой конечности. Своевременная диагностика и комплексное лечение значительно увеличивают шансы на выздоровление.
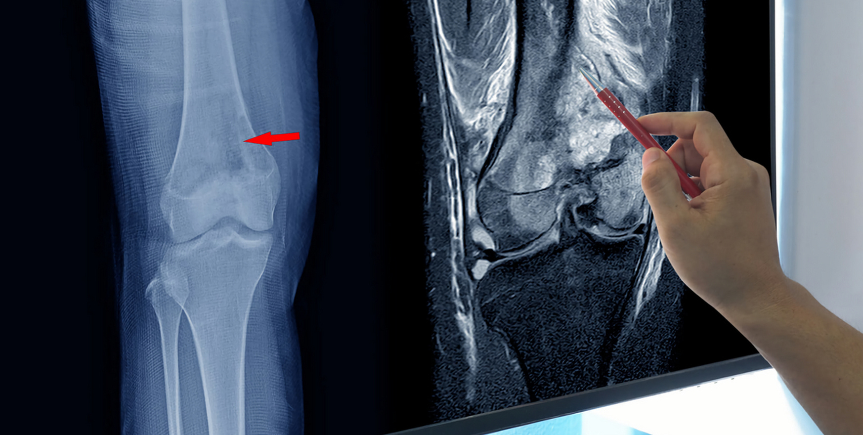
Основные методы лечения костных сарком у детей в Беларуси
Химиотерапия. Химиотерапия является важной частью лечения как остеосаркомы, так и саркомы Юинга. Препараты, используемые при химиотерапии, уничтожают раковые клетки и помогают уменьшить размер опухоли перед операцией.
- Неоадъювантная химиотерапия. Проводится до операции, чтобы уменьшить опухоль и облегчить её удаление.
- Адъювантная химиотерапия. Проводится после операции для уничтожения оставшихся раковых клеток и предотвращения рецидива.
Хирургическое лечение.
- Операция направлена на удаление опухоли с целью полного её иссечения.
- Лимб-сохраняющие операции. В большинстве случаев хирурги могут удалить опухоль, сохранив конечность. После удаления поражённой части кости может потребоваться установка эндопротеза (искусственной кости) или костного трансплантата.
- Ампутация. В редких случаях, если опухоль слишком велика или проросла в окружающие ткани, может потребоваться ампутация конечности.
- Реконструктивные операции. После удаления опухоли может проводиться реконструкция с использованием металлических имплантатов или трансплантатов, чтобы сохранить функцию конечности.
Лучевая терапия.
- Лучевая терапия используется в основном для лечения саркомы Юинга, так как она более чувствительна к радиации. Остеосаркома обычно менее чувствительна к лучевой терапии, поэтому её используют реже.
- Локальная лучевая терапия может проводиться до или после операции для уменьшения опухоли или уничтожения оставшихся раковых клеток.
- Таргетная терапия. В некоторых случаях могут быть использованы таргетные препараты, которые атакуют специфические молекулы, участвующие в росте раковых клеток. Эти методы лечения изучаются и применяются в рамках клинических исследований.
Иммунотерапия.
-
В настоящее время проводятся исследования, направленные на использование иммунотерапии для лечения костных сарком. Этот подход стимулирует иммунную систему организма для борьбы с раковыми клетками.
Дополнительные подходы к лечению
- Физиотерапия и реабилитация. После операции детям может потребоваться физиотерапия для восстановления функции конечности. Это особенно важно после лимб-сохраняющих операций или ампутации. Реабилитация помогает улучшить подвижность, силу и общее качество жизни.
- Психологическая поддержка. Диагноз рака может быть травматичным для детей и их семей. Психологическая поддержка и консультирование играют важную роль в лечении. Сеансы с психологом могут помочь справиться с эмоциональными трудностями и адаптироваться к изменениям в жизни.
- Диетотерапия и поддержка питания. Поддержание хорошего питания важно для восстановления после лечения. Диетологи могут работать с семьёй, чтобы обеспечить ребёнку достаточное количество калорий и питательных веществ.
Лечение саркомы Юинга
- Комбинированная химиотерапия. Лечение начинается с агрессивной химиотерапии для уменьшения опухоли. Комбинация препаратов помогает уничтожить раковые клетки и снизить риск метастазов.
- Хирургическое вмешательство и/или лучевая терапия. В зависимости от локализации опухоли может быть выполнена операция или назначена лучевая терапия. Иногда используют оба метода для более эффективного лечения.
- Адъювантная химиотерапия. Продолжается после операции или лучевой терапии для полного уничтожения раковых клеток.
Жизнь после лечения
- Регулярные медицинские осмотры. После завершения лечения ребёнку потребуется длительное наблюдение для контроля рецидивов и выявления возможных поздних осложнений.
- Физическая активность и адаптация. Ребёнку может потребоваться адаптация к новым физическим возможностям, особенно если была проведена ампутация. Физиотерапевты и ортопеды помогают детям вернуться к активной жизни.
- Эмоциональная поддержка и социальная адаптация. Подростки и дети могут испытывать эмоциональные трудности, связанные с изменениями во внешности или физическими ограничениями. Важно обеспечить доступ к психологической поддержке.
Лечение костных сарком у детей — это сложный и многоэтапный процесс, который требует скоординированных усилий команды специалистов, включая онкологов, хирургов, радиологов и реабилитологов. Своевременная диагностика и комплексный подход к лечению значительно увеличивают шансы на выздоровление и позволяют детям вернуться к полноценной жизни. Важно также уделять внимание реабилитации и эмоциональной поддержке, чтобы ребёнок чувствовал себя комфортно и уверенно после завершения лечения.